媒体报道
北京友谊医院心内科起搏电生理团队成功开展新型主动固定螺旋无导线起搏器植入(20250115 365医学网)
近日,北京友谊医院心内科起搏电生理团队在彭晖主任医师和孙志军副主任医师的带领下,成功为一名84岁正在接受血液透析治疗的缓慢心律失常患者植入了新一代无导线起搏器。作为国内率先开展该项技术的医院之一,此次手术的圆满完成,不仅标志着我院在心脏起搏器领域迈出了重要一步,也充分彰显了心内科起搏电生理团队在复杂病例处理方面的丰富经验,以及运用全球前沿科技为心律失常患者提供精准治疗的卓越能力。

病历资料
患者男性,84岁,主因“间断晕厥3月”就诊于我院,合并慢性肾脏病5期、肾性贫血、肾性高血压多种合并症,目前长期血液透析状态。3月前患者出现黑曚、晕厥等症状,后反复出现晕厥4次。入院后完善心电图显示:病态窦房结综合征、窦性停搏、交界性逸搏,超声心动图示左房、左室增大,右房增大,室间隔增厚,老年性瓣膜退行性变、主动脉瓣关闭不全,升主动脉及主动脉窦增宽。
超声心动图:

动态心电图:


彭晖主任医师和孙志军副主任医师对患者的病情进行了仔细的评估,考虑患者高龄且长期血液透析,属于起搏器系统高感染风险人群。左臂动静脉瘘成形术后近10年,目前动静脉瘘功能已经明显下降,此外下肢血管超声提示双下肢静脉均有附壁血栓形成,需长期抗凝治疗。传统带导线起搏器会占用右侧锁骨下静脉的唯一静脉通路,这对于未来的透析可能带来困难。而无导线起搏器具有:1、不占用静脉通路,适合未来可能需要在右侧上肢行动静脉瘘;2、无起搏器囊袋,因此起搏器系统感染风险较低,更适合高感染风险的患者;3、植入过程微创,恢复时间较短。综合考虑后决定为患者植入新型主动固定螺旋无导线起搏器。
植入式新型主动固定螺旋无导线起搏器是一项突破性的创新技术,相对于传统起搏器,新型主动固定螺旋无导线起搏器无需植入导线和制作囊袋,减少了患者术后感染风险。该起搏器采用头端主动螺旋式设计,可以安全、快速植入,减少心肌损伤风险,确保理想植入位置。同时配备了专用回收导管,提供了安全取出的治疗选择。当遵循国际标准化组织(ISO)标准设置时,其平均电池寿命为17.6年,48%的患者具有超过20年的电池寿命。其i2i传导通讯技术预示未来可实现双腔起搏的需求。
手术过程
经过周密的术前准备,彭晖、孙志军两位主任带领邸北冰主治医师、柳晓娜主治医师和梁立丰医师在内的起搏电生理团队,于心脏介入手术室为患者实施手术。手术团队股静脉穿刺成功后,首先对下腔静脉进行造影并将外鞘放置送入下腔静脉,随后将新型主动固定螺旋无导线起搏器顺利跨瓣送入右心室目标位置,旋入前测试无导线起搏器各项电学参数良好,确认位置合适后旋入固定起搏器,在植入过程中动态测试起搏器各项参数以辅助判断固定程度,达到标准后进入对接栓模式,再次测试起搏器固定位置稳定、各项参数良好后释放起搏器,最后撤出鞘管,顺利完成手术。整个手术流程高效有序,医疗团队成员紧密配合,默契无间,仅耗时40分钟共同完成了这一具有挑战性的任务。

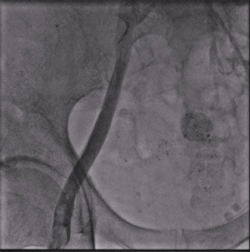
股静脉穿刺后下腔静脉造影

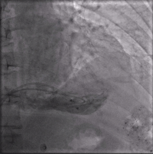
右室猪尾导管造影

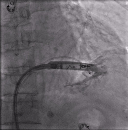
RAO造影确认位置安全

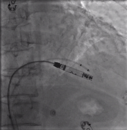
LAO造影确认指向间隔部

电学标测参数良好,在此旋入1.5圈后进入对接栓模式,
摇摆与电学参数测试后释放起搏器

植入后右前斜

植入后左前斜
术后程控报告
术后第二天程控结果显示:起搏参数良好,电池预估寿命:22.6年,充分显示新型主动固定螺旋无导线起搏器大电池长寿命特点。

新一代主动固定螺旋无导线起搏器的一系列创新设计、产品优势,为患者带来如下长期获益:
1、可取出,寿命长:可通过静脉途径取出来,并且使用寿命长。
2、体积小:1.1cc,重量约2g,体积比传统起搏器小约90%。大幅缩短了患者术后的恢复时间,提高了生活质量。
3、创伤小:该技术通过血管介入的微创方式植入心室,无需传统起搏器所需的导线和囊袋,可显著减少患者手术创伤和恢复时间。
4、安全性高:避免了传统起搏器术后囊袋感染、导线断裂等风险。
5、术后影响小:相比于传统有导线起搏器植入后要求患者植入侧肢体在相对长的一段时间内限制运动。植入物无导线起搏器无切口、无伤疤,活动不受限,患者几乎感觉不到它的存在。
6、未来可升级为双腔无导线起搏器,为未来有需求的患者提供保障。
新型主动固定螺旋无导线起搏器植入手术的成功开展,是彭晖、孙志军主任团队在技术创新方面的又一重要成果,更是积极响应“健康中国”战略、提升医疗服务质量的重要举措。未来,北京友谊医院心内科起搏电生理团队将继续引进先进医疗设备和技术,不断提升团队专业水平和综合实力,为患者提供更加优质、高效的医疗服务。
专家简介

彭晖,首都医科大学附属北京友谊医院心内科主任医师,博士,副教授,硕士研究生导师。
国家卫生健康委心律失常介入(器械植入)培训基地导师,北京友谊医院心律失常介入(器械植入)培训基地负责人。
心律失常诊疗高级人才能力建设项目专家委员会委员,中华医学会心电生理和起搏分会抗心律失常药物专业学组委员,中国心电学会起搏心电图工作委员会常委,中国生物医学工程学会心律分会女性心律失常工作委员会委员,北京医学会心电生理和起搏分会委员,北京心血管疾病防治研究会京津冀心血管健康女医师专业委员会委员,中国老年医学会心电与心功能分会委员,中国老年保健医学研究会晕厥分会常委,中国老年保健医学研究会高血压防治分会委员,中国老年保健医学研究会老年心血管分会委员,《中华心脏与心律电子杂志》等编委。
专家简介

孙志军,首都医科大学附属北京友谊医院心内科副主任医师,医学博士。
抖音、微信视频号“和心内孙医生谈心事”及微信公众号“世说心语之谈古论今”主理人。
国家卫生健康委心律失常介入培训基地导师兼基地秘书。
中华医学会心电生理和起搏分会青年委员会委员,中华医学会心电生理和起搏分会医学科普工作组委员,中华医学会心电生理和起搏分会心电学组委员,中华医学会心电生理和起搏分会心律失常远程诊断与治疗工作委员会委员,中国健促会心肺血管健康分会委员,中华心律医学培训工程专家委员会“早筛查、早诊断、早治疗”ICM培训项目青年专家工作组委员,中国卫生信息与健康医疗大数据学会慢病防治与管理专业委员会委员,中国老年保健医学研究会老年心血管病分会委员,中国老年保健医学研究会晕厥分会委员,中国老年保健医学研究会高血压防治分会委员,《中华脑血管病杂志》审稿专家、《心肺血管杂志》编委,北京慢性病防治与健康教育研究会心血管专委会委员。
擅长心律失常诊治,尤其在晕厥与心脏性猝死防治,心力衰竭的器械(CRT/CRT-D)治疗、缓慢性心律失常的起搏器植入,希普系统起搏(生理性起搏)治疗,以及房扑、房颤、室上速、室早的射频消融等方面有较丰富临床经验。参编参译著作多部,累计发表SCI论文和核心期刊论文30余篇。


微博
微信


京公网安备11010202008305号